多倍体细胞中含有额外的基因组拷贝,可能有益于组织更好地应对损伤,甚至渡过物种的生存危机。
果蝇伤口周围含有多个细胞核的巨型多倍体细胞
2008年,维姬 · 洛西克(Vicki Losick)获得博士学位后加入了卡内基科学研究所的一个果蝇实验室,实验室负责人希望他的博士后们能够在新的领域开展研究。洛西克选择了当时流行的研究热点:干细胞。这是一类具有多种功能的细胞,能够分化成为其他种类的细胞,在胚胎发育和成体组织更新中起到关键作用。洛西克对干细胞是否能够修复受伤的组织感到好奇。于是,她和另一个博士后唐 · 福克斯(Don Fox)开始用小针刺伤果蝇,希望记录下干细胞修复伤口的过程。
而这两位博士后各自独立发现,伤口周围的其他细胞出现了奇特的行为。这些细胞生长并复制DNA准备进一步分裂。接着它们停了下来,维持一种增大的单个细胞状态,内含多份基因组的拷贝。现任职于波士顿大学的洛西克回忆道:“我当时相当震惊。”
当洛西克和福克斯几天后观察果蝇的伤口时,他们发现这些所谓的“多倍体细胞”才是治疗伤口的主要细胞,而非干细胞。在针刺的部位,具有多个细胞核的巨型细胞快速封闭了伤口。福克斯回忆道:“我们同时发现了同样的现象,并且干细胞和它无关。”
此后,两位科学家对多倍体细胞的兴趣不断增长。大多数的植物和动物细胞都是二倍体,它们的基因组由来自父母的两组染色体组成。多倍体细胞则有一组或多组额外的染色体,这曾经被认为是有害的异常现象,因助长癌症发展而臭名昭著。但现在,洛西克表示,多倍体在果蝇中广泛存在,“我认为人体中也是如此”。事实上,有数据显示成年人类心脏中有80%的细胞是多倍体状态,而出生时这一数值是零。
当人们发现多倍体细胞相当普遍,而且似乎至关重要,这一曾经鲜为人知的话题立刻吸引了癌症研究人员、发育生物学家、演化生物学家、细胞生物学家和农业科学家。2023年5月,大约150名研究者在佛罗里达州齐聚一堂参加了洛西克参与组织的“生命之树中的多倍体”会议,这些看似毫不相干领域的科学家们交流了信息。匹兹堡大学的发育生物学家夏玛 · 南达库玛(Shyama Nandakumar)说:“简直难以置信,我们有如此多交叉的研究兴趣。”
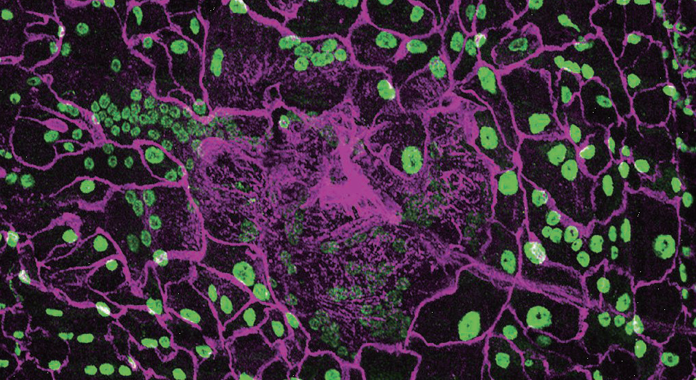
癌细胞中的巨大细胞核具有多组染色体,有利于肿瘤生存
研究结果显示有多个基因会天然驱动多倍体的产生,证明这并非是细胞中的意外事件。研究人员找到线索表明,多倍体细胞能够对从植物细胞到心脏等组织的发育起到关键作用。同时不断有证据表明,多倍体细胞在各类组织和器官中都起到应对应激的重要作用,从受伤的果蝇,到损伤和疾病状态下的人类肺脏、肝脏和肾脏。目前供职于杜克大学的福克斯指出,多倍体细胞“是干细胞的代替选择”。
多倍体可能不只是有机体个体的一种应对方式,而是物种层面的行为。大约30%的植物是完全的多倍体生物,这意味着其所有细胞的染色体数量都是其祖先的两倍或更多。一小部分动物也是如此,譬如一些火蝾螈。演化生物学家发现多倍体有机体比对应的二倍体往往具有竞争劣势,这令人疑惑该遗传特征为何能够持续存在。研究人员确定了基因组复制的过程大约发生在数百万年前,于是提出一种可能假设:多倍体或能够帮助物种平安度过灾难性的环境变化。从各种空间和时间尺度来看,多倍体都是一种“损伤响应”,佛罗里达大学的植物演化生物学家道格拉斯 · 索尔蒂斯(Douglas Soltis)认为,“这是一个至关重要的演化事件,却没人关注”。
科学家在近一个世纪中发现多倍体细胞会由多种方式出现。一种情况是细胞分裂过程在中途被打断,复制的DNA被留在了亲代细胞中,并没有进一步分裂成子细胞。另一种可能是多个细胞融合成具有多个细胞核的单个细胞。无论如何,结果都是产生了更大的细胞。洛西克说:“(细胞)通过变为多倍体,改变了物理特性。”
这种细胞有时会带来危害,协助癌症进展或抵抗放化疗。多倍体细胞同样在特定情况下会损害肾脏或肝脏。但洛西克和福克斯在受伤果蝇中的研究发现了多倍体细胞的另一功能。在二人查阅科学文献寻找类似结果时,他们得知其他的研究团队在疾病或应激状态的组织中发现了多倍体细胞,这些受伤的器官组织包括肝脏。因此二人计划进一步研究他们的果蝇系统。他们发现多倍体细胞的数量以及单个细胞中细胞核和基因组的数量不尽相同,取决于损伤尺寸等各种因素。
最重要的是,当二人通过操纵染色体复制或细胞融合所必要的基因以抑制多倍体细胞生成时,伤口便难以愈合。在卡内基研究小组2013年报道他们的结果前,一位杜兰大学的果蝇生物学家邓武民已经报告了果蝇卵巢损伤后也会出现类似的现象。福克斯指出,这些研究标志着“再生生物学的新前沿”。
福克斯、洛西克等人也记录了细胞如何促进愈合。果蝇中,一些巨型细胞会很快填补损伤产生的空隙,由于它们具有各种基因的多份拷贝,能够产生额外的蛋白质帮助加速修复过程。举例来说,当针刺破坏了肌肉,这些细胞就能够产生肌球蛋白,这种蛋白质参与肌肉的收缩。洛西克认为,多倍体细胞额外的DNA可能也让它们能够抵御损伤所致炎症对DNA的破坏,这种炎症通常会导致二倍体细胞死亡,而恢复能力下降。
类似的过程同样发生在毒素损伤的小鼠肾脏,以及遭受脱水、创伤、感染或其他应激刺激下的人类肾脏中。在5月的会议上,佛罗伦萨大学细胞生物学家莱蒂齐亚 · 德契拉(Letizia De Chiara)报告称,她和佛罗伦萨的肾病学家保拉 · 罗马尼亚尼(Paola Romagnani)观察到大量新产生的巨大多倍体细胞会迅速充满小鼠肾脏的损伤部位,并恢复肾功能。她和同事也研究了肾脏器官慢性衰竭的人类患者的活检结果,发现肾脏中充满了多倍体细胞。她同时在会议上报告称,对于从急性肾损伤中恢复的患者来说,这类细胞的数量会随着时间逐渐下降。
一旦多倍体细胞完成损伤的控制工作后便会停下,因为这种尺寸过大的细胞一旦累积起来可能会有害。佛罗伦萨的研究小组2022年报告称,它们可能会导致瘢痕和慢性肾脏衰竭。但洛西克的研究生卢瓦塞勒 · 冈萨雷斯(Loiselle Gonzalez)发现特定的瘢痕本身能够控制这种细胞的数量。她在5月的会议上报告称,在受伤果蝇中阻断瘢痕形成过程后,多倍体细胞会继续形成,而伤口也不会完全关闭愈合。洛西克说:“包括纤维化在内的瘢痕样组织对于限制多倍体而言或许是必要的。”
洛西克鉴定出一种能够控制果蝇多倍体形成的蛋白质:它是哺乳动物中分子YAP1(yes1相关转录调节因子)在果蝇中对应的蛋白质。YAP1参与调控控制器官尺寸的基因。研究证实它可以刺激昆虫伤口愈合过程中多倍体的形成,并在其活性下降时起到控制作用。佛罗伦萨的研究小组发现YAP1在小鼠肾脏中有相同的作用。罗马尼亚尼表示:“令人惊奇的是,我们在果蝇(腹部)和哺乳动物肾脏中看到了非常相似的结果。”
德契拉表示,小鼠的研究表明在恰当的时机抑制YAP1能够减少受损的肾脏形成有害瘢痕组织的风险。她和同事在动物模型中探索这种可能性。一些生物技术公司正基于YAP1通路开发其他用途的药物,也许这种方式也能够用于防止多倍体形成造成的有害结果。
靶向多倍体细胞的药物或许也能够用于对抗其最危险的作用:使癌细胞产生抵抗治疗的能力。在大多数肿瘤细胞中,会有一部分细胞转化为不再分裂的巨型多倍体细胞,它们额外的基因组材料使其对化疗或放疗产生抵抗能力。这些细胞同样具有物理特性,它们的运动能力和伸缩性都有所增强,这增加了它们离开肿瘤部位并定殖于其他身体位置的能力,约翰 · 霍普金斯医学院的研究人员2022年在《生物学档案》(bioRxiv)上发表了这一结论。
另一个霍普金斯的研究小组发现了一种多蛋白复合物,似乎对细胞的恢复力起到关键作用。当他们抑制多倍体细胞中该复合物的一个组成部分——CDK9蛋白时,这些细胞不再对抗癌药物具有抗性,他们在会议中报告道,这意味着耐药癌症可能具有这一弱点,值得进一步探究。
受伤前的果蝇腹部细胞呈现出均一的尺寸,排列整齐(左),但受伤后细胞会融合成具有多个细胞核的巨型细胞(右)
似乎多倍体细胞在受损或应激组织中是一个受到欢迎的短期访客,而在癌症中是一个长期逗留的危险人物,那么为什么多倍体能够持续存在,且几乎存在于譬如小麦、草莓和甘蔗等一些物种的几乎所有细胞中呢?这些物种多数都曾经历过两个或更多种的亲缘物种间的杂交繁殖过程,它们的基因组因此联合在了一起,而没有回到二倍体的状态。有时这些联合的基因组会再次复制——像是小麦具有六组染色体,而草莓有八组。多次拷贝复制成长和营养必要的关键基因能够形成更密集的谷穗、更大的果实和更高、更甜的茎秆。
这些特征对人类消费者而言是极好的,但对植物而言,“几乎绝大多数全基因组复制现象实际上是适应不良。”根特大学的进化生物学家伊夫 · 范德皮尔(Yves Van de Peer)评价道,譬如说,多倍体植物相对于二倍体植物需要更多的营养,生长速度也更慢。但这种特征能够持续下去,范德皮尔相信答案在于抵抗应激这一点。
他和同事开始研究植物物种基因组发生复制的时机,探索其中是否具有一定的规律。他们发现许多复制发生于6 600万年前,正好是小行星撞击地球并引发大规模灭绝的时期。一项深入的研究发现这种结论能够在更多的植物基因组中得到验证,这揭示了气候变化或冰河时期可能存在更多的全基因组复制浪潮。
“我起初有些怀疑(范德皮尔的看法),”索尔蒂斯说,“但他的结论却经过了时间的考验。”举例来说,范德皮尔的团队发现,拟南芥属(常用于植物生物学研究)的一些物种在200万年前的寒潮时成为多倍体。2019年,哈佛大学的演化生物学家查尔斯 · 戴维斯(Charles Davis)发现一组热带花卉金虎尾目植物在5 000万年前的一段极端温暖的时期经历了全基因组复制。如今,这一目包含16 000个物种,这证实了多倍体相对于其造成的损害能够起到帮助物种的作用。
当浮萍被迫变为多倍体(右),其细胞相比于正常者(左)变大,使叶子显得更大
范德皮尔如今相信多组基因组使得基因可塑性增加,多倍体从而能够对新的应激进行快速调整,在足以摧毁大多数植物和动物的灾难中存活下来。
范德皮尔表示,全基因组复制的模式“表明多倍体能够在短期内,甚至立即产生演化优势”。
他在会议上利用计算机建模和实验结果支持这一结论。他的团队建立数字有机体的群集,赋予它们“基因”以激活虚拟的轮子进行移动,让有机体在一定的速度下接触或躲避其他有机体。
在一些群集活动中,个体具有一份“基因组”的拷贝,而另一些则是两份。为了测试这两种类型的适应程度,范德皮尔评估了这些个体沿着网络寻找虚拟“食物”的能力。拥有一份基因组拷贝的有机体的表现更好,而当研究人员限制食物的供应后却发生了变化。“多倍体突然开始展现出更加极端的行为”,范德皮尔说,它们迈出更大的步伐,找到更多的食物,甚至会合作捕猎它们的竞争对手。最终单基因组的群集灭绝了。这项工作“确认了在一个应激压力大的环境中,有额外的基因组拷贝是一件好事”。他在2019年的《公共图书馆 · 综合》(PLOS ONE)中报告了这一结果。
“这项实验证明它们能够竞争过二倍体,这很引人注目,”索尔蒂斯说,“其中肯定有些奥秘。”
现如今,范德皮尔相信他已经找到了答案。模拟实验中的基因会组成一个交互网络,而范德皮尔发现具有两倍基因的有机体形成的基因网络具有更多联结。因此有机体得以移动得更快,跳跃得更远,并出现意料外的行为,或是以复杂的方式与其他有机体交互。
范德皮尔等人相信,活有机体中也可能会发生类似的现象。福克斯解释道:“染色体数量增加,就会形成更多的联结,用于精细调节基因的相对数量。”这使得部分特定蛋白数量增加,而另一些数量减少,从而改变有机体的行为、生理学或化学特性。洛西克补充说,多倍体物种“能够更好地适应各种环境”。
二倍体有机体已经很好地适应了稳定的环境,因此许多这类精细调节并无必要。但当灭绝恐龙的小行星撞击事件发生后,地球被野火的烟尘所笼罩而暗无天日,此时多倍体便具有存活的各式能力,范德皮尔假设道。“通常全基因组复制在演化上是死路一条,”他总结道,“但如果发生在正确的时机,便能够创造进化的机会。”
为了验证这一想法,范德皮尔和同事转向一种小型水生植物紫背浮萍。通过将它们暴露于特定的化学物质,阻断细胞分裂,诱导一些个体产生多倍体。然后,研究人员将二倍体和多倍体一同培养,比较二者应对应激(如高盐或是高浓度重金属的环境)时的反应。实验证实多倍体植物承受能力更高,他在五月的会议上报告道。他的团队很快将对不同代的浮萍进行基因测序,通过评估基因活动探究多倍体和二倍体的基因调控网络存在哪些差别。
匹兹堡大学的演化生态学家蒂亚-林恩 · 艾希曼(Tia-Lynn Ashman)和马丁 · 特科特(Martin Turcotte)也在浮萍中研究多倍体问题。多倍体植物相对于二倍体植物而言,生长速度通常更慢,种群数量也更小。但它们具有更加多样的微生物生态系统,艾希曼在会议上报告道。
这可能是多倍体的另一个有益结果。研究人员逐渐意识到有机体的微生物组有助于其存活,多样性更大的微生物群系能够让宿主消化更多种食物,或是通过其他方式增加宿主的承受能力。艾希曼指出,增加的多样性能够作为一种机制解释全球尺度上观察到的多倍体的广泛生态适应性。
可以确定的是,多倍体细胞绝非异常情况,而是生命活动中应对损伤、疾病和有害环境等应激的一种主要机制。在会议上,佛罗里达自然博物馆的植物演化生物学家帕梅拉 · 索尔蒂斯(Pamela Soltis)说:“我们逐渐认识到全基因组复制并非简单地将细胞中的一切进行复制,而是一种独特的生物学过程。”
洛西克为这种看法上的转变感到高兴,她回忆起博士后导师对她的高度期许。“我感到自豪,”她说,“也很激动能够成为这个新领域的一分子。”
资料来源 Science
————————
本文作者伊丽莎白·彭尼西(Elizabeth Pennisi)是《科学》杂志的高级记者,负责报道多个生物学领域
膨胀的细胞如何塑造心脏和叶子
年轻的拟南芥叶,经过操纵产生更多多倍体,许多细胞尺寸增大,并具有更大的细胞核
充满染色体的巨型细胞仿佛是温暖的春日场景:绿色的嫩芽预示着未来的灿烂花期。与之相似,多倍体细胞能够帮助组织从损伤中恢复过来,也能够应对其他的应激压力。同时,相比拥有两组染色体的二倍体细胞,这些多倍体细胞有更多组的染色体,现在更多证据表明它们是植物和动物发育的关键,它们巨大的体积有利于花和叶的形成,甚至心脏的发育。
植物生物学家很早就知道花萼(花蕾周围的变态叶)包含这种巨型细胞。十年前,康奈尔大学的艾德里安 · 罗德尔(Adrienne Roeder)证明多倍体细胞的数量是正常开花的关键。她和团队通过在拟南芥中操纵控制多倍体的基因,发现如果花萼中的多倍体细胞太少,就会变得僵硬而直挺,阻碍开花过程;如果多倍体细胞太多,花萼就会展开并过早地将未成熟的花瓣暴露出来。杜克大学的发育生物学家唐 · 福克斯说:“你需要刚刚好数量的多倍体细胞才能得到合适的花萼弧度。”
最近的一项研究揭示了驱动花萼中多倍体的关键分子信号。罗德尔和她的博士后巴图拉 · 维贾亚 · 拉克希米 · 瓦德(Batthula Vijaya Lakshmi Vadde)发现蛋白ATML1能够启动双倍体细胞转变为多倍体的过程,这一蛋白质部分通过刺激产生特定脂肪酸而产生作用。罗德尔的研究生弗朗西斯 · 克拉克(Frances Clark)发现经过这一分子信号刺激的多倍体也能够改变常规叶片的形状。在拟南芥中,大约在叶子一周龄时,首批巨型细胞开始在叶尖发育。接着更多这类细胞出现在靠近叶基部,使叶顶部和底部成形,克拉克报告称。当通过基因工程在植物中产生更多多倍体巨型细胞后,叶的形状会变得更加椭圆。
同时,福克斯的博士后阿尔坎 · 查克拉博蒂(Archan Chakraborty)发现果蝇的管状心脏富含多倍体细胞。在发育中,相比心脏前部,靠近心脏后部的、体积更大的细胞会有更多多倍体(具有更多组的染色体)。查克拉博蒂猜测这些大尺寸的细胞有利于增加果蝇心脏后部的体积,这部分对应着人类心脏中富含肌肉的心室。为了验证这一假说,他减少了果蝇的胰岛素水平,从而降低心脏中多倍体细胞的数量。其结果是果蝇出现了和人类心衰类似的状态,他在五月的会议中报告了这一结果,并在8月1日的《发育》(Development)杂志中发表了研究结果。
福克斯和查克拉博蒂还研究了捐献的人类心脏,发现心室对胰岛素更加敏感,这部分的细胞相对于心房中的细胞染色体的数目也更多。杜兰大学的果蝇生物学家邓武民认为,这一发现提示人类可能也因为这些充实的细胞而拥有了健康的心脏,“人类心脏发育中可能存在一种保守的机制”。





